Photo Gallery

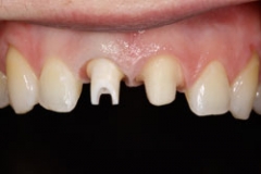
Dental Implants and Restorations

 

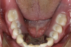
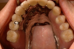
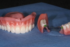
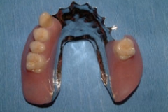
Complete and Partial Dentures

 

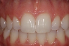
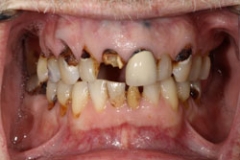
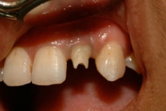
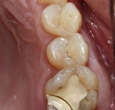
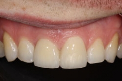
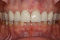
Dental Bridges and Crowns

 

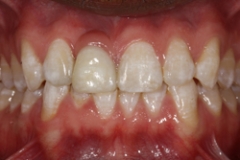
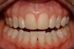
Resins and Veneers

 

Our Office

img
img

When you schedule an appointment, that time will be reserved especially for you. We recognize that your time is valuable and strive to minimize your wait.

img
img
“ I am impressed not only by the friendly yet professional people who work in the office (their kindness, promptness, and thoroughness) but also by Dr. Hall’s approachable demeanor...”

Rick,
More...