Dental Implant Abutments

Implant Abutment
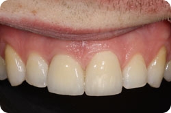
An implant abutment is the component which connects the dental implant which is in bone and below the gumline to the prosthesis that you see in the mouth. That prosthesis may be a crown, a bridge or a denture. The abutment that supports crowns and bridges is critical to soft tissue health and appearance. Dr. Brad Hall believes that to get the most predictable and best possible outcome this component should be custom fabricated for each individual site. Custom final abutments may be cast from a high noble hypoallergenic alloy or milled from titanium or zirconia depending on the requirements of the site. This abutment type is then connected to the implant with an abutment screw and the crown or bridge is cemented to the abutment.

Overdenture abutments
Overdenture abutments connect removable prostheses such as dentures and partials to implants. Dr. Hall most often uses the Locator Abutment which allows for various levels of retention. A housing located within the denture contains a nylon insert which can be changed to increase or decrease retention or if the component needs replacement due to wear. This configuration allows for a “snap” fit of the denture. It can be removed by the patient for cleaning of the denture and the exposed abutment.

Healing abutments
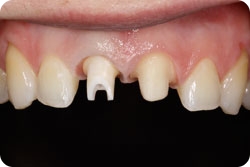
Healing abutments are transitional abutments worn during the healing phase of the implant process. In non-esthetic zones in the most traditional two stage implant process, cylindrical titanium abutments are placed to support the healing of a soft tissue cuff. Gum tissue does not attach itself to an implant or abutment in the same way that it does to a natural tooth root. With the healing abutment, we try to foster a gingival seal to minimize bacterial infiltration and inflammation.

A custom healing abutment is fabricated chairside by Dr. Hall at the time of implant placement in cases where the implant is placed at the time of tooth extraction. The abutment is contoured to fit the soft tissue profile precisely in an effort to maintain the natural gingival architecture. This component profile is duplicated in the final custom abutment that supports the final crown.

Healing abutments are transitional components that are only worn during the healing phase and discarded at the time of delivery of the final prosthesis.

img
img

When you schedule an appointment, that time will be reserved especially for you. We recognize that your time is valuable and strive to minimize your wait.

img
img
“ I am impressed not only by the friendly yet professional people who work in the office (their kindness, promptness, and thoroughness) but also by Dr. Hall’s approachable demeanor...”

Rick,
More...