Dental Fillings

Resins

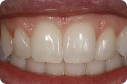
Tooth colored resins are used for various purposes in multiple areas in the mouth. Most commonly they are used to replace tooth structure lost to decay in a traditional filling. Also resins can be used to change the shape or shade of teeth when appropriate in the smile. This is sometimes referred to as bonding. Technology continues to improve with this material, enhancing it’s esthetic properties, bond strength and wear characteristics.

When choosing a filling material or discussing esthetic options, it is important to ask questions and be informed. Together you and Dr. Brad Hall can make the choice that’s right for you.

 

Please take time to discuss any questions you might have about your prosthesis with Dr. Hall. If you are in the Athens, Watkinsville or North Georgia area call Dr. Hall’s office for more information at (706) 543-3629.

img
img

When you schedule an appointment, that time will be reserved especially for you. We recognize that your time is valuable and strive to minimize your wait.

img
img
“ I am impressed not only by the friendly yet professional people who work in the office (their kindness, promptness, and thoroughness) but also by Dr. Hall’s approachable demeanor...”

Rick,
More...